Все статьи

Schwarze Dreiecke – wird dein Lächeln zum Bermudadreieck?

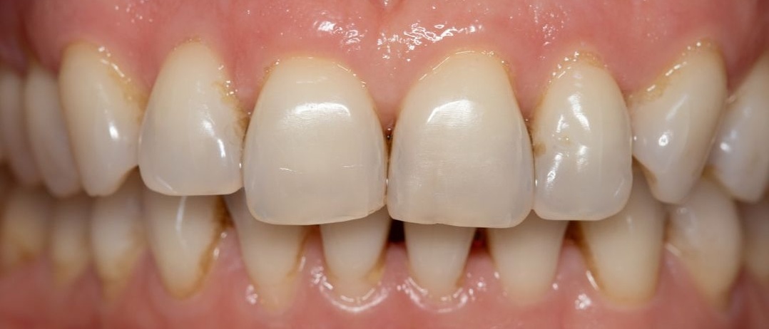
Stören dich dunkle Zwischenräume zwischen deinen Zähnen?
Diese sogenannten schwarzen Dreiecke können dein Lächeln deutlich beeinträchtigen – optisch und gesundheitlich. Viele bemerken sie erst spät: kleine dunkle Lücken am Zahnfleischrand, die plötzlich das gesamte Erscheinungsbild verändern. Was harmlos wirkt, kann jedoch echte Folgen haben.

Was sind schwarze Dreiecke überhaupt?

 Schwarze Dreiecke (auch „offene Zahnzwischenräume“ genannt) entstehen, wenn das Zahnfleisch zwischen den Zähnen – die sogenannte Papille – zurückgeht. Dadurch entsteht eine kleine Lücke, die durch den Schatten im Mund dunkel erscheint. Das Problem: Diese Lücken sind nicht nur unästhetisch – sie können auch:

  • Speisereste und Bakterien festhalten
  • Plaque und Karies begünstigen
  • Zahnfleischentzündungen auslösen
  • langfristig zu Parodontitis führen

Warum entstehen schwarze Dreiecke?

Die Ursachen sind vielfältig:

  • Zahnfleischrückgang (z. B. durch Parodontitis)
  • Natürliche Zahnform (dreieckige Zähne begünstigen Lücken)
  • Fehlstellungen der Zähne
  • Falsche oder zu aggressive Zahnpflege
  • Alterungsprozesse

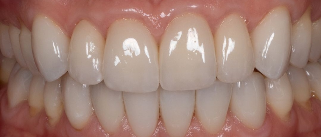
Schöne Zähne ohne schwarze Dreiecke – diese Lösungen gibt es

Je nach Ausprägung gibt es verschiedene Möglichkeiten zur Lächeln-Korrektur:

1. Dental Bonding (Kunststoffaufbau)
Schnelle und schonende Lösung
Zahnfarbener Kunststoff schließt kleine Lücken
Besonders geeignet bei kleinen schwarzen Dreiecken
2. Veneers – für ein perfektes Lächeln
Dünne Keramikschalen für die Vorderzähne
Ideal für schöne, gleichmäßige Zähne
Verdecken schwarze Dreiecke dauerhaft
Perfekt für ästhetische Komplettkorrekturen

3. Kronen (bei größeren Defekten)
Komplettlösung bei stark geschädigten Zähnen
Sorgt für eine gleichmäßige Zahnform
Schließt auch größere Lücken zuverlässig
4. Zahnkorrektur mit Alignern (z. B. Invisalign)
Begradigt Zähne sanft und unsichtbar
Schließt Lücken durch optimale Zahnstellung
Oft kombiniert mit Feinkorrekturen (Enameloplastik)

Was viele unterschätzen:

Schwarze Dreiecke sind nicht nur ein Schönheitsproblem. Sie können deine Mundgesundheit langfristig gefährden. Zusätzlich wirken sie oft:

  • „älter machend“
  • ungepflegt
  • unharmonisch im Lächeln

So kannst du schwarze Dreiecke vorbeugen

Dein Weg zu schönen Zähnen & einem perfekten Lächeln

Schwarze Dreiecke können dein Lächeln stark beeinflussen – aber sie lassen sich in den meisten Fällen effektiv korrigieren. Ob mit Veneers, Alignern, oder kleinen ästhetischen Korrekturen. 

Möchtest du deine schwarzen Dreiecke loswerden und wieder selbstbewusst lächeln?

Dann vereinbare jetzt deinen Termin und starte deine Lächeln-Korrektur für schöne, gesunde Zähne.

Der erste Schritt ist immer eine individuelle Beratung.

Jetzt Termin vereinbaren


 

 

Cookies sind im Einsatz für das beste Erlebnis. Weiter browsen bedeutet Zustimmung!

Akzeptieren Ablehnen Mehr Details